신영통튼튼이치과 로고
신영통튼튼이치과TTE DENTAL CLINIC
🎯상담 · 지금 바로 상담

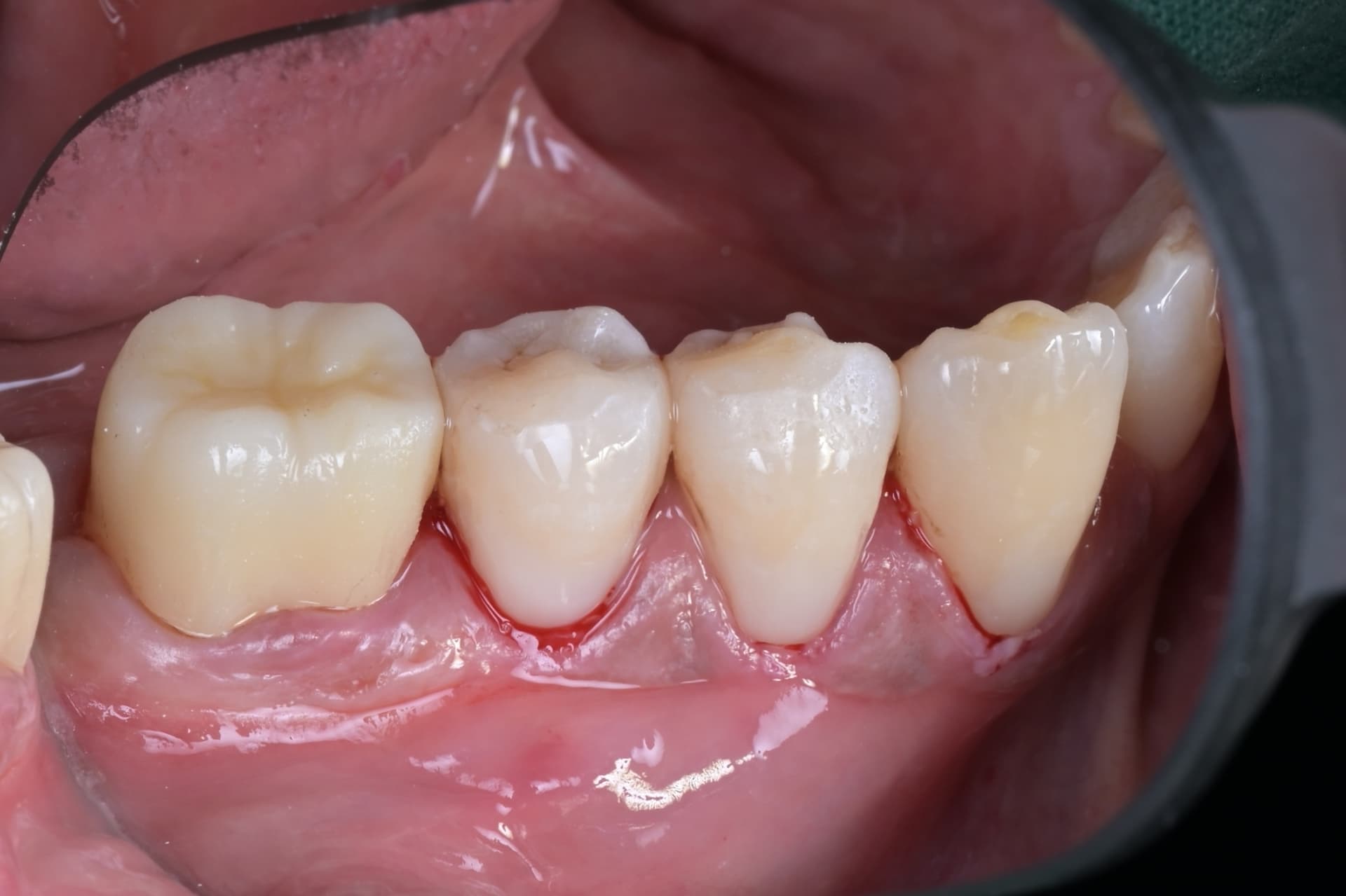
이런 치료가 필요하신가요?

강석훈 원장이 직접 진단하고 1:1 맞춤 치료 계획을 제안해 드립니다. 환자분의 구강 상태에 따라 최적의 방법을 상담해 드립니다.