화성시 #25 깊은 충치 치료 - MTA 생활치수치료(VPT)와 레진빌드업으로 신경 살리기
충치 제거 중 치수가 노출된 #25 상악 소구치에 MTA 생활치수치료(VPT)와 레진빌드업을 시행하여 자연치아를 보존한 증례입니다. 신영통튼튼이치과 강석훈 원장.
환자 정보
깊은 충치, MTA 생활치수치료(VPT)
화성시 #25 깊은 충치 치료 - MTA 생활치수치료(VPT)와 레진빌드업으로 신경 살리기
안녕하세요, 신영통튼튼이치과 강석훈 원장입니다. 오늘은 화성시 신영통에서 내원하신 환자분의 #25 상악 소구치 깊은 충치 치료 케이스를 소개해드리려고 합니다. 충치 치료 중 치수가 노출되어 MTA 생활치수치료(VPT)와 레진빌드업을 통해 자연치아를 보존한 증례입니다.
많은 분들이 "충치가 깊으면 무조건 신경치료를 해야 하나요?"라고 물어보시는데요, 최근 치의학에서는 치수가 노출되더라도 적절한 조건과 술식을 통해 신경을 살릴 수 있는 가능성이 높아지고 있습니다. 바로 MTA를 이용한 생활치수치료 덕분입니다.
MTA 생활치수치료(VPT)란? 치수 보존의 과학적 근거
생활치수치료(Vital Pulp Therapy, VPT)는 충치 제거 과정에서 치수가 노출되었을 때, 신경을 제거하지 않고 살리는 치료 방법입니다. 이 중 직접 치수복조술(Direct Pulp Capping)과 부분 치수절제술(Partial Pulpotomy)이 대표적인 술식입니다.
최근 연구들에 따르면, MTA(Mineral Trioxide Aggregate)를 사용한 생활치수치료의 성공률은 매우 고무적입니다:
| 치료 방법 | 성공률 | 추적 기간 |
|---|---|---|
| MTA를 이용한 직접 치수복조술 | 81-93% | 12-24개월 |
| MTA를 이용한 부분 치수절제술 | 88-95% | 24-60개월 |
| 일반 수산화칼슘 사용시 | 70-80% | 12-24개월 |
MTA의 장점은 다음과 같습니다:
✅ 우수한 생체적합성으로 치수 조직과 잘 융화됩니다
✅ 강력한 밀폐성으로 세균 침투를 차단합니다
✅ 알칼리성 환경을 조성하여 항균 효과를 나타냅니다
✅ 경조직 형성을 촉진하여 상아질 브릿지(dentin bridge) 생성을 유도합니다
✅ 습윤한 환경에서도 경화가 가능합니다
MTA 생활치수치료가 적합한 경우
모든 치수 노출 상황에서 생활치수치료가 가능한 것은 아닙니다. 다음 조건들을 만족할 때 성공률이 높습니다:
✅ 외상이나 우식 제거 중 기계적으로 노출된 경우
✅ 노출된 치수에서 출혈이 조절 가능한 경우
✅ 환자가 자발통이나 야간통을 호소하지 않는 경우
✅ 방사선 사진상 치근단 병소가 없는 경우
✅ 치근 발육이 완성되지 않은 젊은 치아인 경우 (특히 유리)
오늘의 치료 케이스 소개 - #25 깊은 충치와 치수 노출
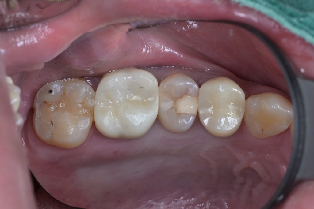
오늘 소개드릴 케이스는 왼쪽 위 작은어금니(제2소구치, #25)에 깊은 충치가 발생하여 내원하신 환자분입니다. 육안으로도 확인되는 충치 병소가 있었으며, 치료 과정에서 예상치 못한 치수 노출이 발생했습니다.


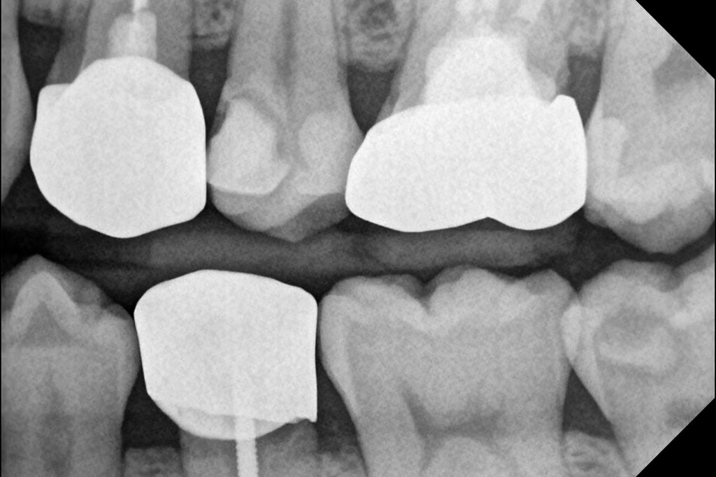
환자분은 특별한 통증 증상 없이 내원하셨으며, 방사선 검사 결과 치근단에 병소는 관찰되지 않았습니다. 다만 우식이 치수에 매우 근접해 있어 치료 중 치수 노출 가능성을 염두에 두고 신중하게 접근했습니다.
미세현미경 레진빌드업과 MTA 생활치수치료 과정
Step 1: 러버댐 격리
성공적인 치수 치료의 첫 단계는 완벽한 방습입니다. 치수가 침, 혈액, 세균에 오염되면 치료 성공률이 급격히 떨어지기 때문입니다.

Step 2: 우식 제거
미세현미경을 사용하여 기존 수복물과 우식 조직을 세밀하게 제거합니다. 우식검사액(Sable Seek)을 사용하여 남아있는 우식 조직을 염색하고, 건강한 치질만 남을 때까지 정밀하게 제거합니다.



Step 3: 치수 노출 확인 및 평가
우식을 완전히 제거하는 과정에서 치수가 노출되었습니다. 이 시점에서 치수의 생활력과 건강도를 평가하는 것이 중요합니다.

출혈이 선홍색이고 지혈이 가능한 상태였으며, 환자분도 자발통이 없었기에 생활치수치료(VPT)를 진행하기로 결정했습니다.
Step 4: MTA를 이용한 치수 보호
노출된 치수 부위를 생리식염수로 세척하고, 지혈을 확인한 후 MTA(Mineral Trioxide Aggregate)를 치수 노출 부위에 직접 접촉시켜 밀폐합니다. MTA는 수분이 있는 환경에서도 경화되며, 치수 조직과 생체적합성이 우수하여 상아질 브릿지 형성을 유도합니다.


Step 5: 레진빌드업 수복
MTA가 경화되면, 그 위로 복합레진을 이용한 레진빌드업을 시행합니다. 인접면부터 교합면까지 층층이 적층하며 원래 치아의 해부학적 형태를 정밀하게 재현합니다.




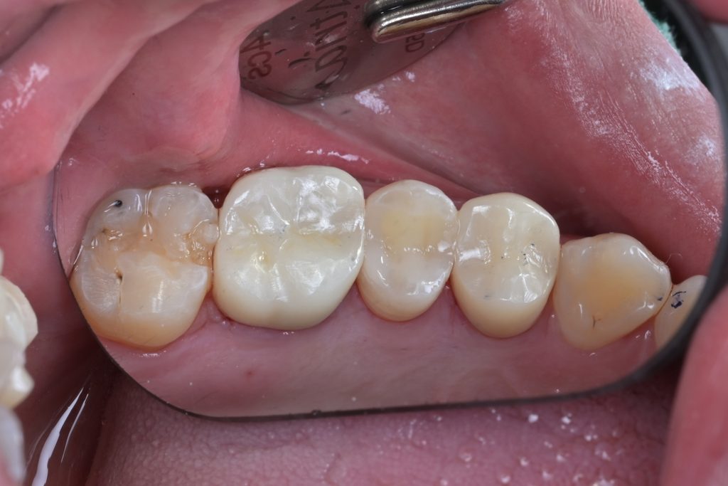
치료 후 최종 마무리 및 결과
레진빌드업 완료 후, 교합지를 이용하여 반대편 치아와의 교합 접촉을 세밀하게 조정하고, 다이아몬드 버와 폴리싱 시스템을 사용하여 최종 연마를 진행했습니다.

[사진14: 협측면에서 본 최종 치
⚠️ 진료 안내 및 주의사항
본 증례 사진은 환자분의 동의를 얻어 게재되었으며, 동일한 조건에서 촬영되었습니다. 치료 결과는 개인에 따라 다를 수 있으며 부작용이 발생할 수 있습니다.
임상 사진
(14장)자주 묻는 질문
충치가 신경 가까이 진행되었을 때 신경을 살리기 위해 MTA 등의 생체적합성 재료로 신경을 보호하는 치료입니다. 성공하면 신경치료 없이 자연 치아의 생활력을 유지할 수 있습니다.
신경치료는 감염된 신경을 완전히 제거하는 반면, 생활치수치료는 신경을 살려두는 것이 목표입니다. 신경이 살아있는 치아가 더 튼튼하고 오래 유지됩니다.
MTA(Mineral Trioxide Aggregate)는 생체적합성이 뛰어난 치과 재료로, 노출된 신경 위에 덮어 신경을 보호하고 치유를 촉진합니다.
적절한 케이스 선택과 정밀한 시술이 이루어지면 성공률이 90% 이상입니다. 미세현미경으로 충치 제거 범위를 정확히 판단하는 것이 핵심입니다.
충치가 깊어도 신경이 건강한 상태라면 생활치수치료로 신경을 살릴 수 있습니다. 미세현미경 진단을 통해 신경 상태를 정확히 평가한 후 결정합니다.
이런 치료가 필요하신가요?
강석훈 원장이 직접 진단하고 1:1 맞춤 치료 계획을 제안해 드립니다. 환자분의 구강 상태에 따라 최적의 방법을 상담해 드립니다.


