크라운 하방 2차우식 치료를 위한 레진코어 빌드업 방법
크라운(보철물) 아래에서 진행된 2차 우식(충치)을 발견하고, 러버댐 격리 하에 정밀한 레진코어 빌드업으로 치아를 보존한 실제 치료 과정입니다. 신영통튼튼이치과 강석훈 원장.
환자 정보
연령
성별
주소
크라운 하방 악취, 2차 우식






ㅁㅁ
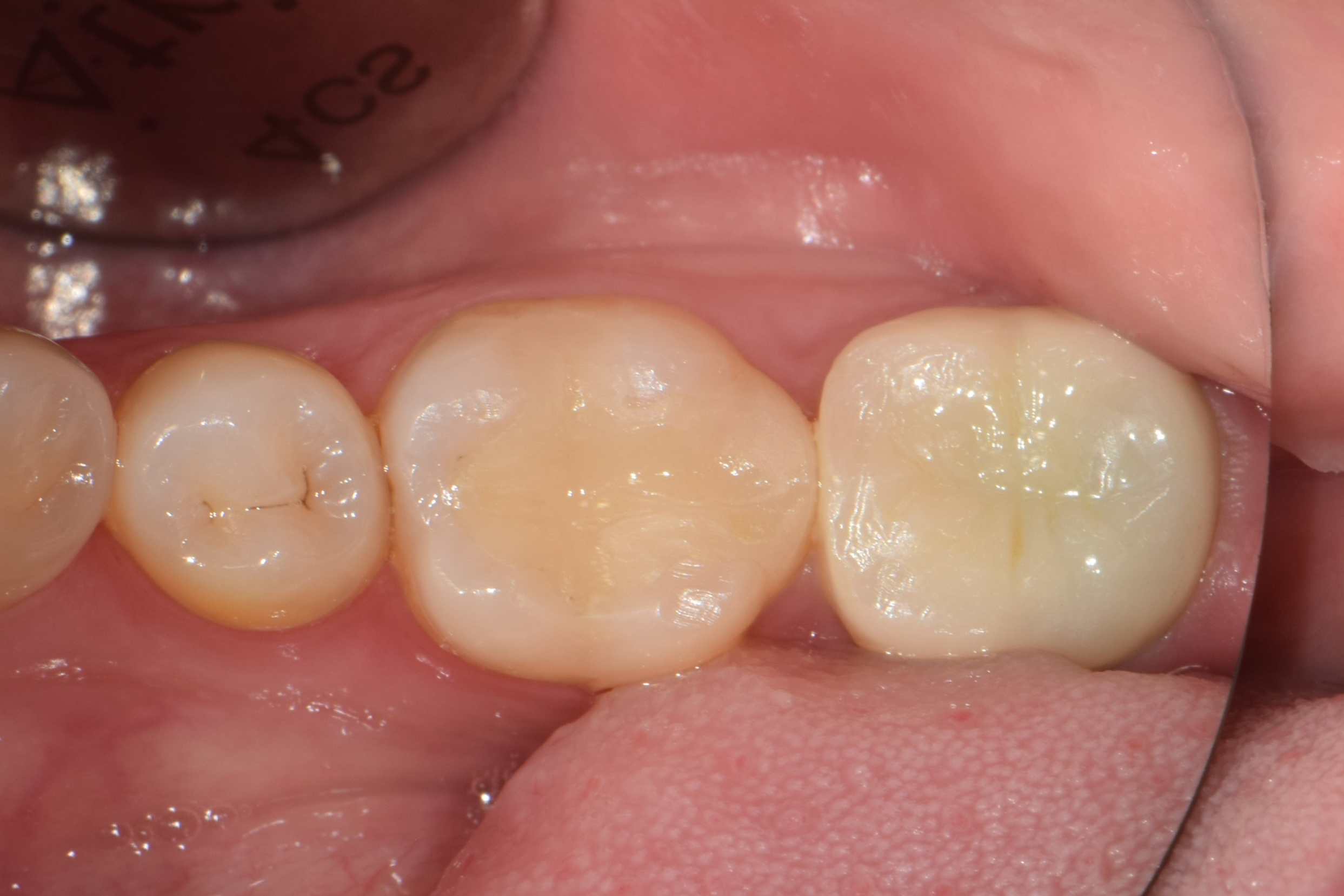
임상 사진
(6장)자주 묻는 질문
네, 크라운과 치아 사이 경계면으로 세균이 침투하면 내부에 2차 충치가 발생할 수 있습니다. 정기 검진과 엑스레이로 조기 발견이 중요합니다.
크라운을 제거한 후 미세현미경으로 25배 확대 관찰하면 육안으로는 보이지 않는 미세 충치까지 정확하게 발견할 수 있습니다.
전체 비용은 치아 상태에 따라 달라지며, 대략 60~100만원 수준입니다. 정확한 비용은 미세현미경 진단 후 안내드립니다.
크라운과 치아 경계면에 미세한 틈이 생기면 음식물과 세균이 침투하여 냄새가 발생합니다. 2차 충치가 진행되고 있다는 신호일 수 있습니다.
미세현미경을 사용하면 크라운만 선택적으로 제거하고 건강한 치아 조직은 최대한 보존할 수 있습니다.
🎯상담 · 지금 바로 상담
이런 치료가 필요하신가요?
강석훈 원장이 직접 진단하고 1:1 맞춤 치료 계획을 제안해 드립니다. 환자분의 구강 상태에 따라 최적의 방법을 상담해 드립니다.
#2차우식#크라운#레진코어#빌드업#러버댐#보철치료


