소아/청소년 충치치료는 최소침습 레진 빌드업이 정답 — 만 9세 #46 광범위 2차우식 치료 증례
만 9세 어린이의 하악 제1대구치(#46)에서 기존 레진이 탈락하고 광범위한 2차우식이 발견되었습니다. 치은연하까지 진행된 충치를 잇몸 정리, 러버댐 방습, AquaCare, fiber 보강 레진빌드업으로 최소침습 치료한 실제 증례입니다.
환자 정보
만 9세
#46 기존레진 2차우식 및 치은연하우식
안녕하세요. 포기하지 않고 자연치아를 지키는 곳, 신영통튼튼이치과 대표원장 강석훈입니다.
오늘은 만 9세 어린이의 큰 어금니(#46) 충치 치료 이야기입니다. 검진차 내원하셨는데, 타 치과에서 레진 치료를 받은 부위에 광범위한 2차 우식이 숨어있었습니다.
"아이 치아인데 크라운을 씌워야 하나요?"
"인레이가 낫지 않을까요?"
부모님들이 가장 많이 하시는 질문입니다. 결론부터 말씀드리면, 소아/청소년의 경우 크라운이나 인레이 같은 침습적인 치료보다 레진을 이용한 '최소침습치료'를 권합니다. 그 이유를 실제 치료 과정과 함께 보여드리겠습니다.
1. 초진 상태: 겉보기엔 괜찮아 보이지만...
처음 오셨을 때의 모습입니다. 언뜻 보면 레진 치료가 되어 있어 괜찮아 보입니다. 하지만 자세히 보면 기존 레진이 들떠있는 상태였습니다.

2. Q-ray(QLF) 검사: 눈에 보이지 않는 충치를 찾아내다

Q-ray(QLF, 정량적 광형광 촬영)는 특수 형광을 이용해 눈에 보이지 않는 충치와 오염을 시각화하는 진단 장비입니다. 붉은색으로 보이는 부분이 세균 오염 및 충치 부위인데, 기존 레진 아래로 광범위한 오염이 관찰됩니다.
겉으로는 멀쩡해 보여도, 속은 이미 심각한 상태였던 것입니다.
3. 기존 레진 제거: 예상보다 심각한 2차우식

기존 레진을 제거하는데, 접착이 제대로 되어있지 않아 톡 하고 탈락해버렸습니다. 그 아래로 드러난 것은 하방 2차우식과 잇몸 아래까지 파고든 치은연하 우식이었습니다.
러버댐을 제대로 장착하려면, 잇몸 아래까지 내려간 충치 부위의 잇몸 정리(치은절제)가 먼저 필요한 상황이었습니다.
4. 러버댐 장착: 충치 치료 성공의 핵심

충치 치료의 성패는 결국 얼마나 완벽한 방습을 하느냐에 달려있습니다. 레이저로 잇몸을 적절히 다듬어 치아 경계를 확보한 뒤, 러버댐을 장착했습니다.
러버댐이 있어야 침과 혈액이 치료 부위에 오염되지 않고, 접착제가 최대의 성능을 발휘할 수 있습니다. 특히 소아 환자에서는 침 조절이 어렵기 때문에 러버댐이 더욱 중요합니다.
5. Q-ray로 확인하는 충치 제거 과정

기존 수복물을 완전히 제거한 후 Q-ray로 촬영한 모습입니다. 심한 오염(붉은 형광)이 광범위하게 관찰됩니다.

충치를 제거해가는 과정에서 다시 Q-ray로 확인합니다. 아직 잔존 우식과 오염이 남아있는 것이 보입니다.

충치 제거를 계속 진행한 후의 Q-ray입니다. 잔존 우식과 오염이 상당히 제거된 것이 확인됩니다. 이렇게 Q-ray를 반복 촬영하면서 충치가 완전히 제거되었는지 객관적으로 검증합니다.
6. AquaCare 치면 처리

남은 충치를 모두 제거한 후, AquaCare(아쿠아케어)로 치아 표면을 처리했습니다. AquaCare의 미세 파우더 분사는 남아있는 미세한 오염물을 제거하고, 레진 접착력을 최대 21% 향상시킵니다.
7. 접착 준비 완료

충치 제거와 치면 처리가 모두 끝나고, 접착 치료를 위한 준비가 완료된 상태입니다. 깨끗한 상아질 면이 노출되어 있고, 러버댐으로 완벽한 방습이 유지되고 있습니다.
8. Fiber 보강 레진빌드업

이 과정이 오늘 치료의 핵심입니다. 충치가 광범위하게 진행되었기 때문에, 단순히 레진만 채우면 강도가 부족할 수 있습니다. Fiber(섬유)를 이용한 접착 보강은 광범위한 충치 치료에서 레진의 내구성을 크게 높여주는 필수 과정입니다.
크라운이나 인레이는 치아를 추가로 깎아야 하지만, fiber 보강 레진빌드업은 남아있는 치아를 최대한 보존하면서도 충분한 강도를 확보할 수 있습니다.
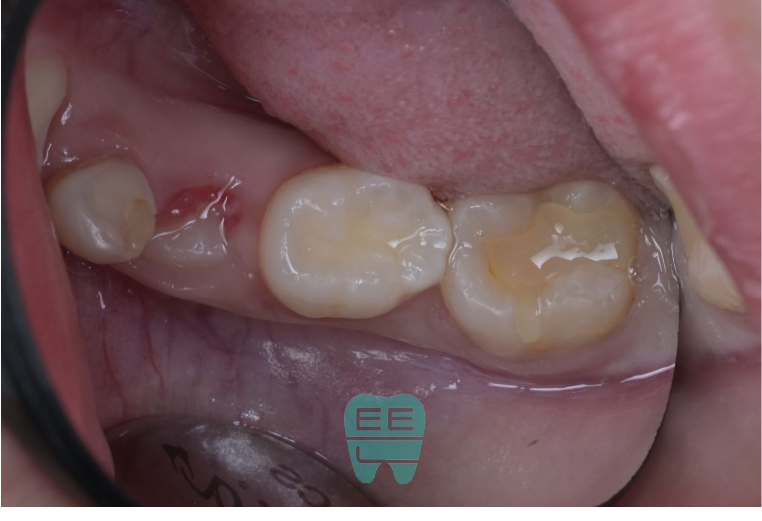
9. 레진 빌드업 완료

미세현미경 아래에서 복합레진을 층간 충전하여 자연 치아의 교합면 형태를 재현했습니다.

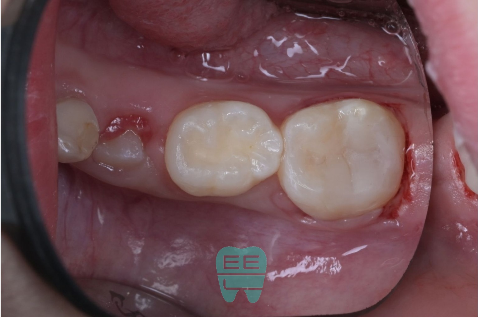
다른 각도에서 본 모습입니다. 입체적으로 적절한 외형이 회복된 것을 확인할 수 있습니다.
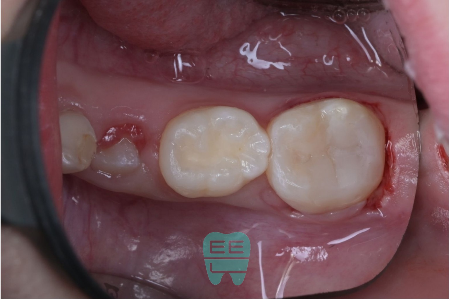
10. 치료 완료: 교합조정과 연마



교합조정과 연마를 마친 최종 모습입니다. 처음 들떠있던 레진과는 완전히 다릅니다. 주변 치아와 자연스럽게 어우러지는 형태와 색감, 그리고 정확한 교합이 확보되었습니다.
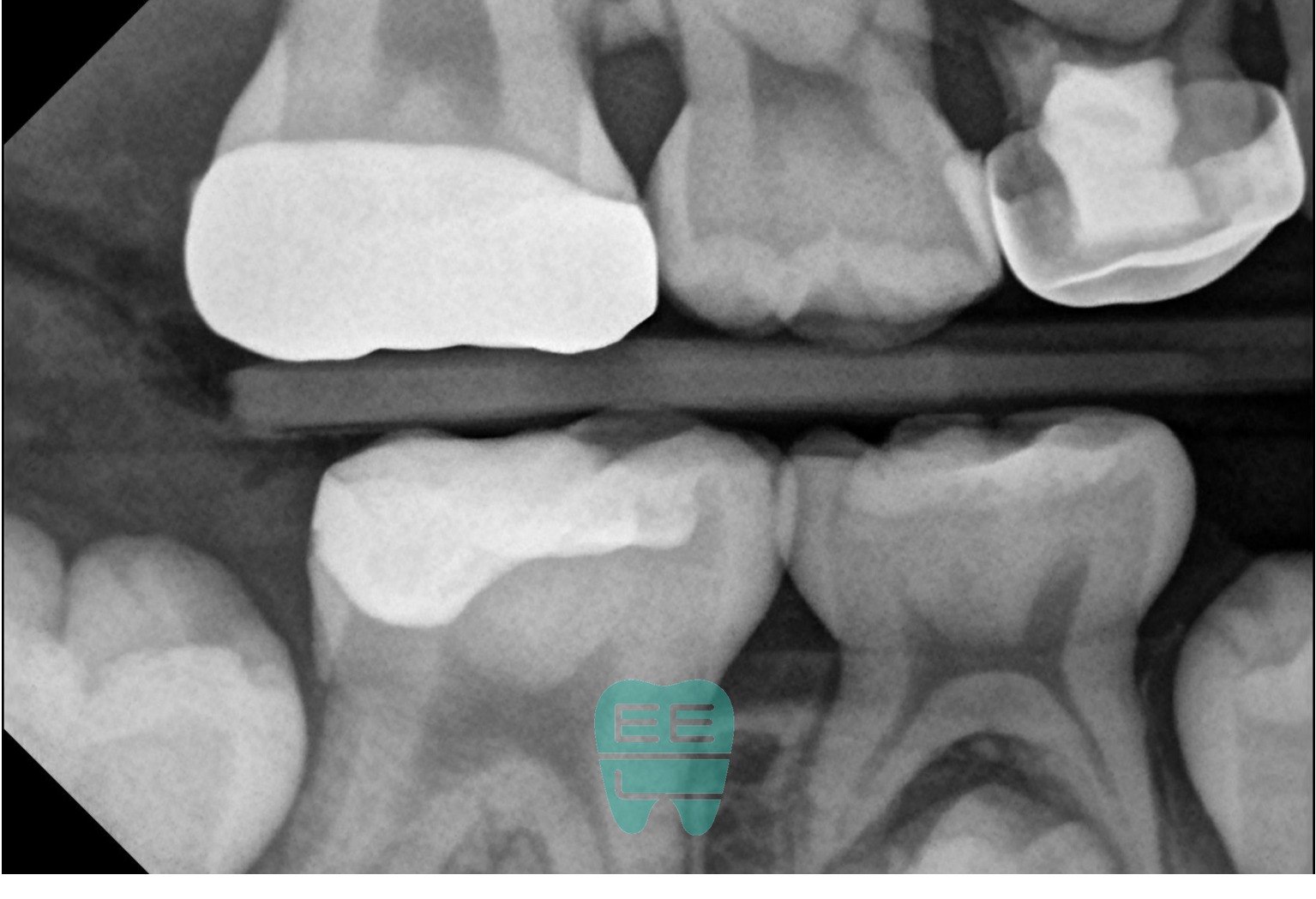
11. 치료 후 방사선 확인

치료 후 촬영한 교익방사선 사진에서도 적절한 형태가 관찰됩니다. 인접면 contour가 잘 형성되어 있고, 하방에 빈 공간 없이 레진이 잘 충전된 것을 확인할 수 있습니다.
왜 소아/청소년에게 최소침습 레진빌드업인가?
만 9세의 어금니는 아직 평생을 함께할 영구치입니다. 이 시기에 크라운을 씌우면:
크라운 제작을 위해 건강한 치아까지 추가 삭제가 필요합니다
성장기 치아의 교합 변화에 대응하기 어렵습니다
추후 크라운 교체 시 매번 치아가 더 깎여나갑니다
반면, 최소침습 레진빌드업은:
감염된 부분만 제거하고 건강한 치아를 최대한 보존합니다
fiber 보강으로 충분한 강도를 확보합니다
부분 수리가 가능해 추후 유지관리에 유리합니다
치아 삭제량이 적어 앞으로의 치료 옵션을 열어둡니다
임플란트가 아무리 좋아도 내 원래 치아보다 좋을 수 없듯이, 크라운이 아무리 좋아도 건강한 치질을 더 많이 남기는 것이 항상 유리합니다.
소아/청소년 충치 치료에 대해 궁금한 점이 있으시면, 언제든지 신영통튼튼이치과에 문의해 주세요.
임상 사진
(16장)자주 묻는 질문
소아·청소년의 영구치는 아직 성장 중이므로 치아 삭제를 최소화하는 것이 중요합니다. 미세현미경으로 충치만 정밀하게 제거하고 레진빌드업으로 복원하면, 크라운 없이도 치아의 형태와 기능을 회복할 수 있습니다.
네, 신영통튼튼이치과는 소아·청소년 치료에도 미세현미경을 사용합니다. 아이들의 치아는 성인보다 작고 신경이 가까워, 정밀한 시야 확보가 더욱 중요합니다.
QuickSleeper 5 무통 마취 시스템을 사용합니다. 컴퓨터가 마취액 주입 속도와 압력을 자동 조절하여 주사 시 통증을 최소화합니다.
충치의 범위와 난이도에 따라 약 30만~50만원 수준입니다. 소아·청소년 치료도 성인과 동일한 미세현미경·AquaCare 장비를 사용합니다.
치료 당일은 마취가 풀릴 때까지(약 2~3시간) 입술이나 볼을 깨물지 않도록 주의해주세요. 딱딱하거나 끈적한 음식은 하루 정도 피하는 것이 좋습니다.


