상악동 무절개 임플란트, 고난도 수술로 가능한 케이스
상악동 거상술이 필요한 고난도 상황에서도 잇몸 절개 없이 무절개(Flapless)로 임플란트를 식립한 실제 케이스. CT 진단부터 보철물 완성까지 전 과정을 공개합니다.
환자 정보
치아 결손, 상악 구치부 임플란트 필요

안녕하세요, 신영통튼튼이치과 강석훈 원장입니다.
임플란트 수술이라고 하면 잇몸을 절개하고 봉합하는 전통적인 방식을 떠올리시는 분들이 많습니다. 하지만 최근에는 무절개(Flapless) 임플란트 수술이 보편화되면서, 환자분들의 불편감이 줄고 회복 속도도 훨씬 빨라졌습니다.
무절개 임플란트란?
무절개 수술은 잇몸을 절개하지 않고 작은 구멍만 뚫어 임플란트를 심는 방식입니다.
- 절개·봉합이 없으므로 출혈과 부기가 적습니다.
- 통증이 적고 일상생활 복귀가 빠릅니다.
하지만 모든 환자분이 무절개 수술이 가능한 것은 아닙니다.
상악과 하악, 각화치은 차이
무절개 수술 가능 여부는 각화치은(keratinized gingiva)의 양과 뼈 상태에 크게 좌우됩니다.
- 상악 구치부: 각화치은이 충분한 경우가 많아 무절개 적용이 쉽습니다.
- 하악 구치부: 각화치은이 부족한 경우가 많아, 절개 및 잇몸 이식이 필요한 경우가 많습니다.
따라서 무절개 임플란트는 '누구나 가능한 편한 수술'이 아니라, 환자 잇몸 상태와 골질을 면밀히 평가한 뒤 신중히 결정해야 하는 술식입니다.
상악동 거상술 + 무절개? 고난도의 수술
특히 상악 구치부에서 상악동 거상술이 필요한 경우, 많은 환자분들이 무절개는 불가능할 거라 생각하십니다.
사실 일반적인 치과에서는 맞는 이야기입니다. 상악동 무절개 임플란트는 고난도의 술식으로, 정밀한 CT 진단과 미세현미경 장비, 특수 기구가 모두 갖추어져야 진행할 수 있기 때문입니다.
저희 신영통튼튼이치과는 이러한 고난도 케이스에서도 무절개 임플란트를 다수 성공적으로 진행하고 있습니다.
실제 케이스 소개
오늘 보여드릴 케이스는 상악 구치부에서 상악동 거상술이 필요한 상황이었지만, 무절개로 진행할 수 있었던 특별한 사례입니다.
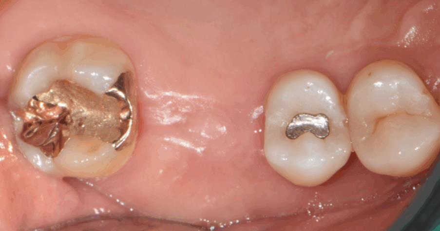
초진 구내사진 – 치아 결손으로 임플란트 치료 위해 내원하신 상태

수술 전 파노라마 – 상악동과 인접한 위치 확인


수술 전 CT – 뼈 높이가 부족해 상악동 거상술 필요 소견

저희는 절개 없이 작은 구멍을 통해 상악동 거상술과 임플란트 식립을 동시에 진행했습니다.
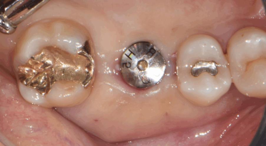
수술 직후 구내사진 – 절개 없이 깔끔하게 마무리된 수술 부위

수술 후 파노라마 – 임플란트가 안정적으로 자리잡은 모습


수술 후 CT – 상악동 뼈가 안전하게 거상된 모습


마지막으로 보철물까지 안정적으로 장착해 환자분은 정상적인 저작 기능과 심미성을 회복하셨습니다.
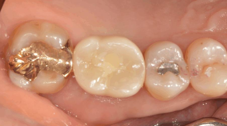
보철물 장착 후 구내사진

신영통튼튼이치과의 차별화
- 상악동 무절개 임플란트 가능: 고난도 수술을 절개 없이 진행
- 첨단 CT·미세현미경 장비 보유
- 풍부한 임상 경험으로 안전성 확보
- 환자 통증과 회복 부담 최소화
저희 치과는 단순히 임플란트를 심는 것이 아니라, 환자분의 상황에 맞춘 최적의 방법을 선택해 장기적인 예후까지 고려합니다.
⚠️ 진료 안내 및 주의사항
본 증례 사진은 환자분의 동의를 얻어 게재되었으며, 동일한 조건에서 촬영되었습니다. 치료 결과는 개인에 따라 다를 수 있으며 부작용이 발생할 수 있습니다.
임상 사진
(11장)자주 묻는 질문
네, 상악동 거상술을 통해 부족한 뼈를 보충한 뒤 임플란트를 식립할 수 있습니다. 무절개 방식으로 진행하면 통증과 회복 기간을 줄일 수 있습니다.
잇몸을 절개하지 않고 작은 구멍만 뚫어 임플란트를 식립하는 방식입니다. 출혈과 붓기가 적고 회복이 빠릅니다.
QuickSleeper 5 무통 마취와 정밀한 수술 기법으로 통증을 최소화합니다.
무절개 방식의 경우 일반적으로 1~2일이면 일상생활이 가능하며, 임플란트 뼈 유착까지는 약 3~6개월이 소요됩니다.
임플란트 비용은 뼈이식 여부, 사용 재료에 따라 달라집니다. 정확한 비용은 CT 촬영 후 상담 시 안내드립니다.
이런 치료가 필요하신가요?
강석훈 원장이 직접 진단하고 1:1 맞춤 치료 계획을 제안해 드립니다. 환자분의 구강 상태에 따라 최적의 방법을 상담해 드립니다.


