신영통튼튼이치과 로고
신영통튼튼이치과TTE DENTAL CLINIC
TTE

신영통튼튼이치과

레진빌드업 · 2026.04.23

레진빌드업 슬라이드 1/9
레진빌드업 슬라이드 2/9
레진빌드업 슬라이드 3/9
레진빌드업 슬라이드 4/9
레진빌드업 슬라이드 5/9
레진빌드업 슬라이드 6/9
레진빌드업 슬라이드 7/9
레진빌드업 슬라이드 8/9
레진빌드업 슬라이드 9/9
1 / 9

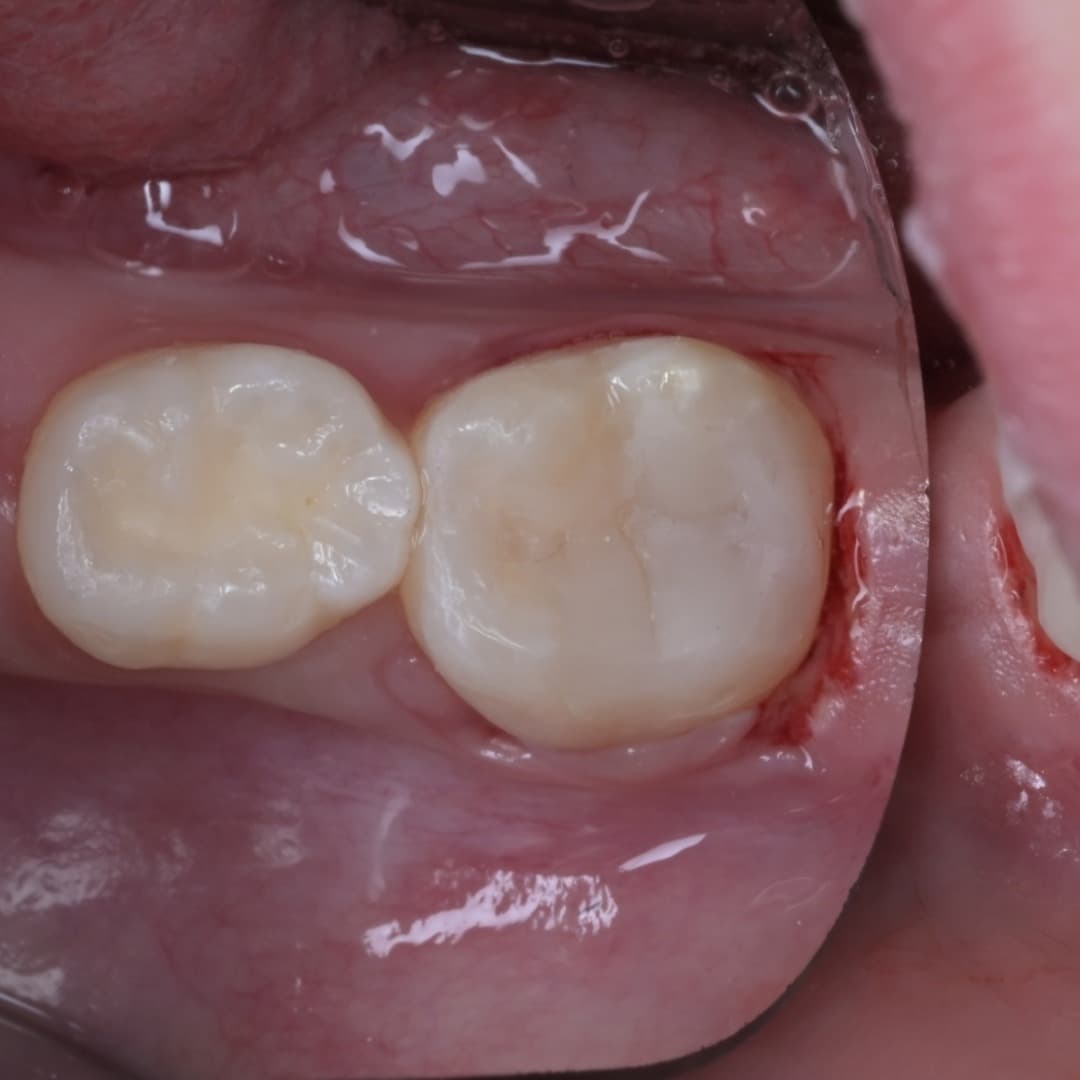
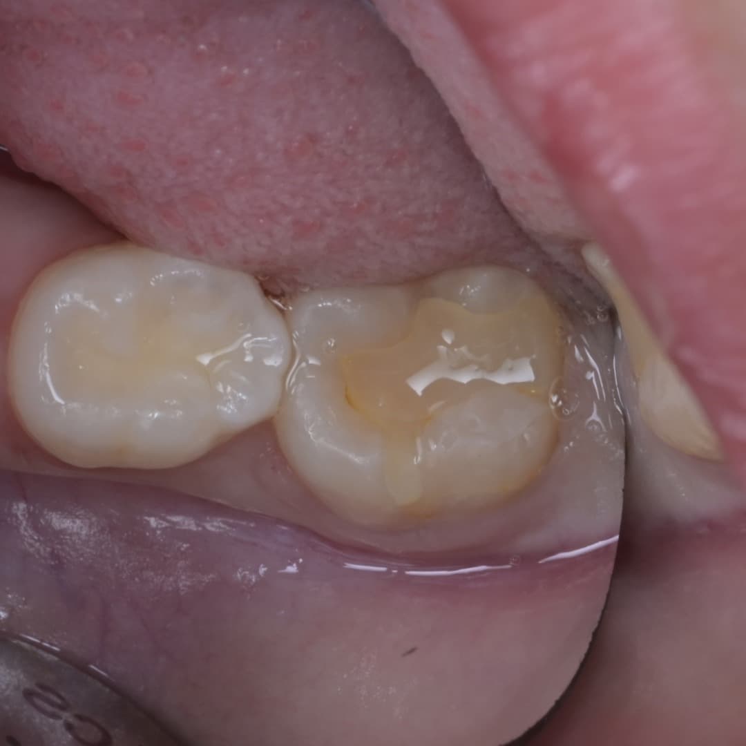
레진빌드업

2차우식이 생긴 인레이 수복물을 레진빌드업으로 재치료

🎯상담 · 지금 바로 상담

이런 치료가 필요하신가요?

강석훈 원장이 직접 진단하고 1:1 맞춤 치료 계획을 제안해 드립니다. 환자분의 구강 상태에 따라 최적의 방법을 상담해 드립니다.