Resin Core Build-up for Secondary Caries Under an Existing Crown
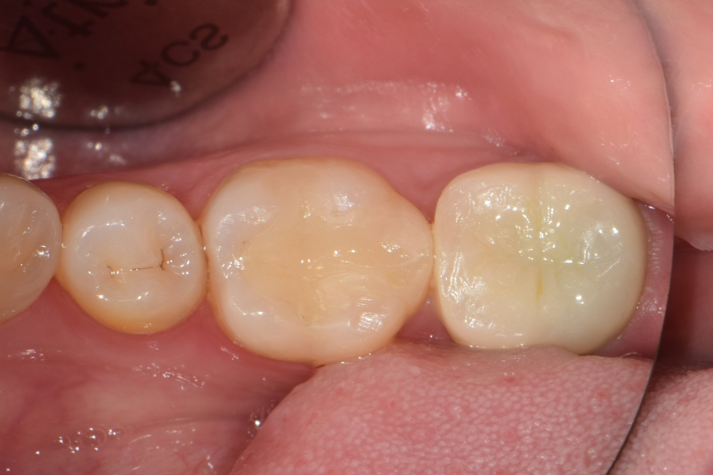
Treatment of foul odor caused by secondary caries leakage under an existing crown, involving core removal, caries excavation, and resin wall formation under rubber dam isolation.






임상 사진
(6장)관련 증례

Resin Build-up
Same Cavity, Different Outcomes — How Dental Microscopes Transform Every Treatment

Resin Build-up
Minimally Invasive Resin Build-up Is the Answer for Pediatric Cavities — Treating Extensive Secondary Caries in a 9-Year-Old

Resin Build-up
AquaCare: Scientific Evidence for Enhanced Bond Strength — 2025 International Research Review
#resin core build-up#secondary caries#crown retreatment#rubber dam#Hwaseong dentist