Is Bone All That Matters for Implants? Extending Implant Longevity by Creating Firm Gum Tissue (FGG / Vestibuloplasty)
A case where free gingival graft (FGG) and vestibuloplasty were performed to supplement insufficient attached gingiva around an implant, extending the implant's lifespan.
Patient Information
Missing lower right molars, alveolar bone atrophy, insufficient attached gingiva


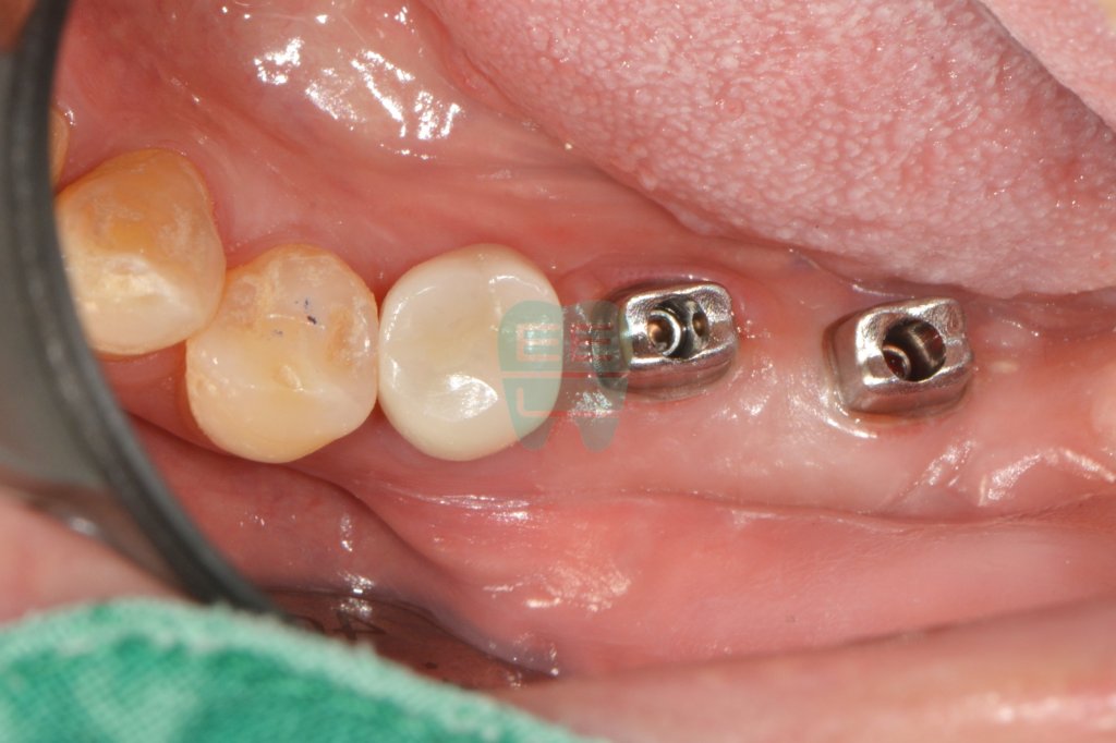
### **2. Implant Placement and Gum Graft (Second-Stage Surgery)** Two months after the implant fixture was placed, we performed second-stage surgery combined with **free gingival graft (FGG)** and **vestibuloplasty** to reinforce the deficient gum tissue. - **Vestibuloplasty:** Deepens the shallow gingival sulcus to reduce food impaction. - **Free Gingival Graft (FGG):** Harvests firm gum tissue from the palate and transplants it around the implant, creating a protective barrier.Before treatment: Alveolar bone has receded and attached gingiva is severely lacking due to long-term tooth loss.

### **3. Healing Process (1–2 Weeks)** This is the healing phase as the grafted tissue integrates with the surrounding tissue. Some discomfort is expected immediately after surgery, but over time the transplanted gum fuses with the adjacent tissue and establishes a stable blood supply.FGG and vestibuloplasty performed simultaneously with second-stage implant surgery.



### **4. Custom Abutment Connection** After the gum tissue had fully healed, a **custom abutment** precisely matching the patient's gum contour was connected. If you look at the arrow area (buccal gum), you can see that a **thick, firm band of gum tissue** — absent before surgery — now firmly surrounds the implant.Healing progress: From the day after surgery through two weeks — the grafted tissue integrating stably.

### **5. Provisional and Final Prosthesis** A provisional crown was used to test chewing function and gum adaptation, followed by the final **zirconia crown** for long-term durability.Prosthetic connection stage: The FGG graft has firmly integrated on the buccal (cheek-side) aspect of the implant.


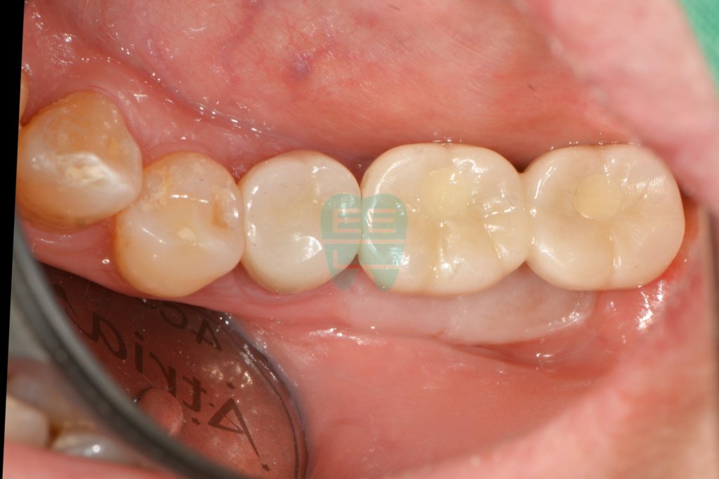
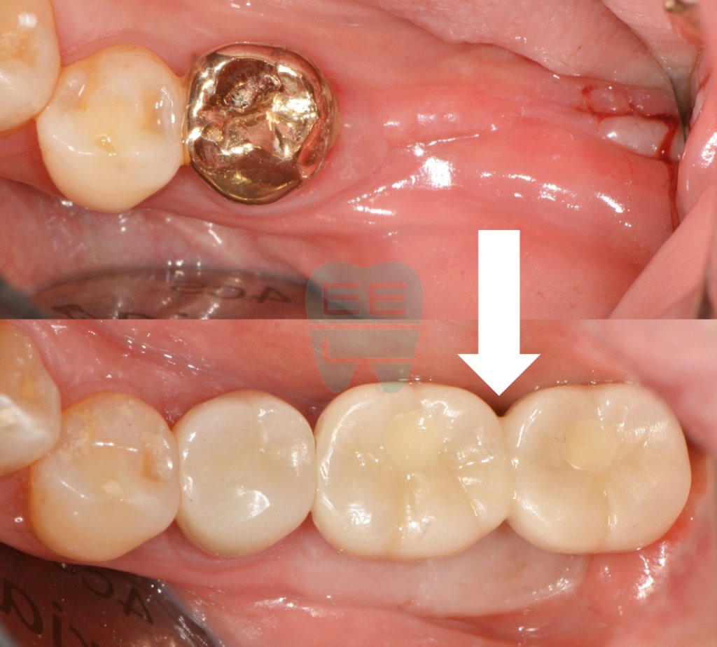
### **Dr. Kang's Commentary: Why Undergo a Difficult Gum Surgery?** Comparing the before and after photos, you can see the **newly formed deep vestibule and firm attached gingiva** beneath the prosthesis.Treatment complete: A sturdy zirconia prosthesis with a deepened vestibule.

Disclaimer
All clinical photographs were taken with the patient's consent under standardized conditions. Treatment outcomes may vary by individual, and complications may occur.
임상 사진
(10장)관련 증례

Same Cavity, Different Outcomes — How Dental Microscopes Transform Every Treatment

Minimally Invasive Resin Build-up Is the Answer for Pediatric Cavities — Treating Extensive Secondary Caries in a 9-Year-Old
